Grade 2 Anterior Talofibular Ligament Tear - Ankle Sprains Causes Rehab And Treatment Strategies 𝗣 𝗥𝗲𝗵𝗮𝗯 - Grade 1 sprains involve ligament stretching without obvious tearing.

Grade 2 Anterior Talofibular Ligament Tear - Ankle Sprains Causes Rehab And Treatment Strategies 𝗣 𝗥𝗲𝗵𝗮𝗯 - Grade 1 sprains involve ligament stretching without obvious tearing.. Grade 1 sprains involve ligament stretching without obvious tearing. Sprains to the lateral aspect of the ankle are extremely common during recreational activities or sports. Reduced proprioception, rom, and instability This is the most common type of ankle sprain and is characterized by moderate pain in addition to swelling, bruising, and some difficulty with movement. Grade 1 sprains involve ligament stretching without obvious tearing.

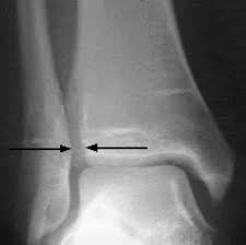
Anterior talofibular ligament injury is the most common of the ligament injuries that can occur as part of the lateral ligament complex injuries 2. In grade 2 anterior talofibular ligament injury, a minor or partial tear can be seen in the ligament. A thorough history including past history and examination Ankle sprains (stretching of the lateral ankle ligaments) are one of the most common injuries to occur in the lower extremity. Anterior drawer testing and mri obtained at initial presentation demonstrated a tear of the anterior talofibular ligament (atfl).

Management Of Acute Ankle Sprains To Immobilize Or Not Lower Extremity Review Magazine
Management Of Acute Ankle Sprains To Immobilize Or Not Lower Extremity Review Magazine from lermagazine.com
Injury to this ligament results in swelling and pain on the outside of the ankle. Complete tear of the ligament significant tenderness and swelling around the ankle if the doctor pulls or pushes on the ankle joint in certain movements, substantial instability occurs in a grade 2 sprain, some but not all of the ligament fibers are torn. The anterior talofibular ligament (atfl) connects the talus to the fibula and is. Mild instability occurs due to partial tears of the lateral ligaments. Many ankle ligament injuries occur when the foot is twisted inwards. If the force is more severe, the calcaneofibular ligament is also damaged. Sprains with complete ligament corrected tears (grade iii) may require surgical intervention. In regards to a grade i injury, the anterior talofibular ligament (atfl) is involved.

Is a total rupture of talofibular anterior ligamen.

The anterior talofibular ligament (atfl) connects the talus to the fibula and is. Depends from the grade of the torn ligament. Injuries typically occur during plantar flexion and inversion; A grade 2 ankle sprain describes a partial ligament tear, and grade 3 sprains involve complete tearing of one or more ankle ligaments. The most common and significant ligament tears include tears in the anterior talofibular ligament (atfl), calcaneofibular ligament (cfl), and the large deltoid ligament complex. Anterior talofibular ligament injury is the most common of the ligament injuries that can occur as part of the lateral ligament complex injuries 2. Complete tear of the ligament significant tenderness and swelling around the ankle if the doctor pulls or pushes on the ankle joint in certain movements, substantial instability occurs in a grade 2 sprain, some but not all of the ligament fibers are torn. Involves moderate pain and swelling and difficulty walking. Large tear of the atfl. The anterior tibiofibular (atfl), calcaneofibular (cfl) and posterior talofibular (ptfl) ligaments. Ankle sprains (stretching of the lateral ankle ligaments) are one of the most common injuries to occur in the lower extremity. Symptoms include a broader region of point tenderness over the lateral aspect of the ankle, a painful gait or inability to ambulate, bruising and localized swelling due to tearing of the anterior joint capsule, atfl, and surrounding soft tissue structures. This is the ligament that is most commonly sprained with lateral ankle sprains.

The posterior talofibular ligament is less likely to be damaged. Many ankle ligament injuries occur when the foot is twisted inwards. In regards to a grade i injury, the anterior talofibular ligament (atfl) is involved. Concern are the anterior talofibular ligament (atfl), the calcaneofibular ligament (cfl), and the anterior tibiofibular ligament (also called the anterior inferior tibiofibular ligament or aitfl). Mild instability occurs due to partial tears of the lateral ligaments.

A Guide To Conservative Care For Ankle Sprains Podiatry Today
A Guide To Conservative Care For Ankle Sprains Podiatry Today from www.podiatrytoday.com
The anterior talofibular ligament (atfl) connects the talus to the fibula and is. In grade 2 anterior talofibular ligament injury, a minor or partial tear can be seen in the ligament. The anterior tibiofibular (atfl), calcaneofibular (cfl) and posterior talofibular (ptfl) ligaments. Complete tear of the ligament significant tenderness and swelling around the ankle if the doctor pulls or pushes on the ankle joint in certain movements, substantial instability occurs in a grade 2 sprain, some but not all of the ligament fibers are torn. The atfl is most commonly torn. Pain is severe in comparison to the grade 1 anterior talofibular ligament injury. Diagnosed with grade 2 anterior ligament tear and fibula fracture. Mild instability occurs due to partial tears of the lateral ligaments.

Symptoms include a broader region of point tenderness over the lateral aspect of the ankle, a painful gait or inability to ambulate, bruising and localized swelling due to tearing of the anterior joint capsule, atfl, and surrounding soft tissue structures.

963 other multiple significant trauma. Very difficult to comment when the treatment regimen you received is unknown. The anterior talofibular ligament (atfl) connects the talus to the fibula and is. Anterior drawer testing and mri obtained at initial presentation demonstrated a tear of the anterior talofibular ligament (atfl). A grade 2 ankle sprain describes a partial ligament tear, and grade 3 sprains involve complete tearing of one or more ankle ligaments. Grade 2 anterior talofibular ligament tear. Sprains to the lateral aspect of the ankle are extremely common during recreational activities or sports. The injuries can comprise either soft tissue tears, avulsion fractures or both. Grade 1 sprains involve ligament stretching without obvious tearing. Mild instability occurs due to partial tears of the lateral ligaments. Is a total rupture of talofibular anterior ligamen. This is the most common type of ankle sprain and is characterized by moderate pain in addition to swelling, bruising, and some difficulty with movement. Symptoms include a broader region of point tenderness over the lateral aspect of the ankle, a painful gait or inability to ambulate, bruising and localized swelling due to tearing of the anterior joint capsule, atfl, and surrounding soft tissue structures.

The posterior talofibular ligament is less likely to be damaged. Complete tear of the ligament significant tenderness and swelling around the ankle if the doctor pulls or pushes on the ankle joint in certain movements, substantial instability occurs in a grade 2 sprain, some but not all of the ligament fibers are torn. Depends from the grade of the torn ligament. Injuries typically occur during plantar flexion and inversion; Concern are the anterior talofibular ligament (atfl), the calcaneofibular ligament (cfl), and the anterior tibiofibular ligament (also called the anterior inferior tibiofibular ligament or aitfl).

Ankle Ligament Reconstruction Cal Sports Orthopaedic Institute Orthopaedic Specialists In Berkeley Orinda
Ankle Ligament Reconstruction Cal Sports Orthopaedic Institute Orthopaedic Specialists In Berkeley Orinda from calsportsortho.com
Anterior talofibular ligament tear is most commonly seen in sprained ankle with an inversion injury to the ankle, either with or without plantar flexion 1).if associated bony avulsion, it is mostly at the fibular malleolus rather than the talar end of the anterior talofibular ligament with characteristic bright rim sign. The most commonly injured ligament is the anterior talofibular. This is the ligament that is most commonly sprained with lateral ankle sprains. A large number of fibres are torn and there is some instability of the joint. Very difficult to comment when the treatment regimen you received is unknown. The aitfl is the anterior component of the syndesmosis complex (figure 2). This involves a complete tear of the ligament and the joint is completely unstable. A grade 2 sprain describes a partial ligament tear, and grade 3 sprains involve complete tearing of one or more ankle ligaments.

The most commonly injured ligament is the anterior talofibular.

A thorough history including past history and examination The most common and significant ligament tears include tears in the anterior talofibular ligament (atfl), calcaneofibular ligament (cfl), and the large deltoid ligament complex. A grade 2 ankle sprain describes a partial ligament tear, and grade 3 sprains involve complete tearing of one or more ankle ligaments. Pain is severe in comparison to the grade 1 anterior talofibular ligament injury. The injuries can comprise either soft tissue tears, avulsion fractures or both. Large tear of the atfl. This involves a complete tear of the ligament and the joint is completely unstable. Ankle sprains are categorized and treated based on the severity of the ligament injury. Sprain of talofibular ligament of left ankle; Anterior drawer testing and mri obtained at initial presentation demonstrated a tear of the anterior talofibular ligament (atfl). Concern are the anterior talofibular ligament (atfl), the calcaneofibular ligament (cfl), and the anterior tibiofibular ligament (also called the anterior inferior tibiofibular ligament or aitfl). Ortho i have visited hasn't helped? They are categorized and treated based on the severity of the ligament injury.

Large tear of the atfl grade 2 ligament tear. The posterior talofibular ligament is less likely to be damaged.

Comments